Northwest Arkansas Family Dental
Fayetteville, AR Dentist

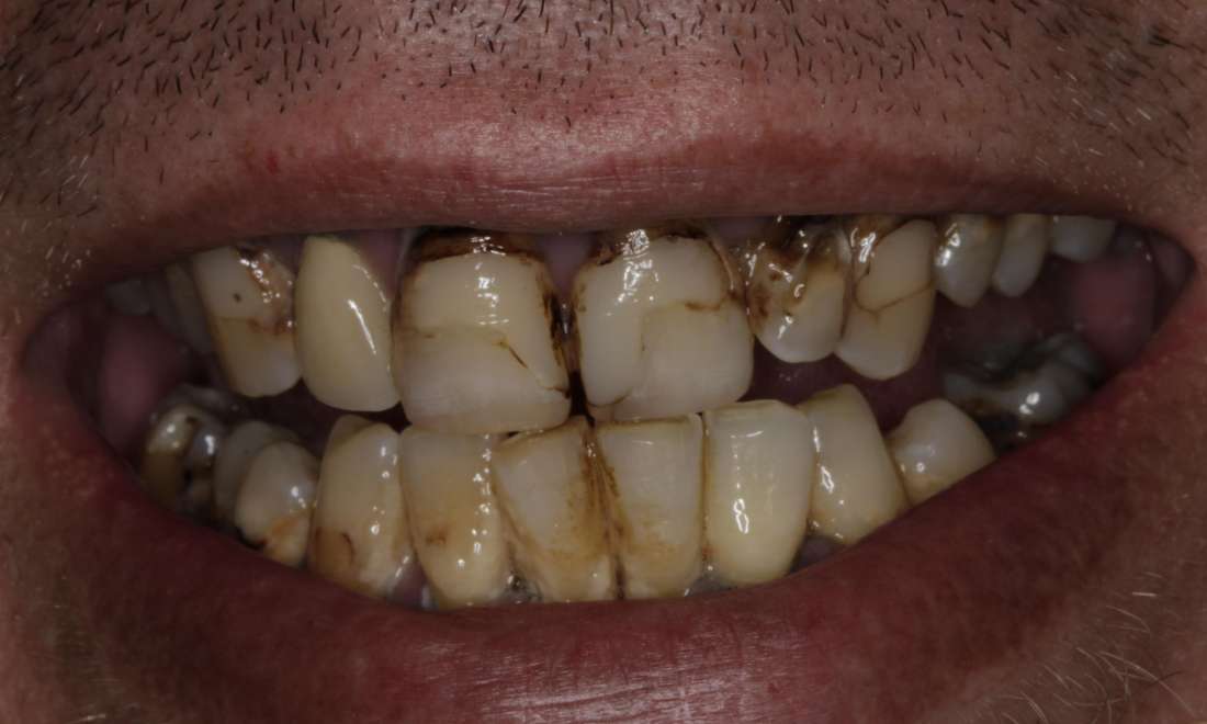
Dentures and Partials

Dentures and partials are a great way to replace broken or missing teeth.

Related Services:

Dentures and Partials
Before Dentures After Dentures
Getting an appointment is fast and easy!
If you have difficulty using our website, please email us or call us at (479) 521-2002
View the ADA Accessibility Statement