Smile Gallery
Below are just a few examples of before & after cases illustrating our work


With same day crowns, you do not need multiple appointments to complete the crown process! With the use of our digital scanner and mill, we are able to fabricate your crown in-house so that you leave the office with your new crown on the same day.


Dentures and partials are a great way to replace broken or missing teeth.


Dental crowns may be a good option for you if you're embarrassed by broken, misshapen, or discolored teeth. Dental crowns not only strengthen and restore damaged teeth, but also significantly improve the appearance of your smile.
Fast and Convenient Crowns for Your Smile
At Northwest Arkansas Family Dental, we use E4D technology that allows us to create your new crown in one appointment while you wait instead of waiting for weeks for a dental lab to handcraft your restoration.
Creating your new smile with beautiful, aesthetic porcelain crowns in Fayetteville is quick, simple, and comfortable at Northwest Arkansas Family Dental.


This patient presented with smaller, "peg" shaped teeth that resulted in spacing between teeth that could potentially trap food and cause them to feel self-conscious about the appearance of their smile.
Cosmetic Dentistry in Fayetteville Creates Beautiful Smiles
Dr. Kifer and Dr. Johnson can repair jagged, broken, or small "peg" teeth with crowns, veneers, or cosmetic bonding. They may also combine these services for the best outcome. To learn more about cosmetic dentistry in Fayetteville, AR, contact our office today.
Learn more about what's possible for your smile by contacting Northwest Arkansas Family Dental.


Same-day porcelain crowns brought this smile back to life! Our dentists covered worn and discolored teeth with stunning porcelain crowns that restored chewing function and enhanced this patient's smile.
Full Mouth Rehabilitation in Fayetteville
If you'd like to learn more about what same-day tooth crowns in Fayetteville, AR, can do for your smile, we encourage you to contact Northwest Arkansas Family Dental and schedule an evaluation with one of our dentists.


Our dentists restored this smile with beautiful porcelain crowns to cover worn, misshapen, and discolored teeth.
Dental crowns cover a tooth completely to restore its shape and shade. Now, this patient can chew and eat easily and confidently smile!
Would You Like to Learn More About Cosmetic Dental Crowns in Fayetteville?
For more information on how dental crowns in Fayetteville, AR can enhance your smile, contact your team at Northwest Arkansas Family Dental at (479) 521-2002.


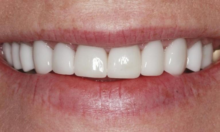
This patient presented with chipped, discolored, and worn teeth. We completed a full mouth rehabilitation to transform the aesthetics of their smile and improve chewing function.
Full Mouth Reconstruction in Fayetteville
When our dentists complete a full mouth rehabilitation, they may combine several different procedures to achieve the best results and outcomes. Some procedures they may recommend are:
- Professional teeth whitening
- Tooth-colored fillings
- Porcelain veneers
- Clear braces with Invisalign
- Porcelain crowns
- Dental implants
If you'd like to learn more about the possibilities for your smile, contact your cosmetic dentist in Fayetteville, AR at Northwest Arkansas Family Dental to schedule an evaluation.


This patient presented with worn and broken teeth that we removed and restored with an implant-retained overdenture.
What Is an Implant Denture?
Our dentists used a few carefully placed dental implants to secure a denture, which restored function and aesthetics to the patient's smile. Dental implants also keep the jawbone healthy and stimulated, which means better longevity for your appliance.
For more information on implant dentures in Fayetteville, AR, contact your team at Northwest Arkansas Family Dental at (479) 521-2002 to discuss options for restoring your smile.


Beautiful! KoR Whitening System can whiten even tetracycline stained teeth in a short time, which was previously thought to be impossible. These results are often achieved with less sensitivity than other systems. Ask us how you can get these amazing results!


Do you often complain of headaches? Are your teeth breaking or wearing thin? Dr. Kifer and Dr. Johnson have extensive training and experience in treating the whole mouth, reconstructing your bite and smile to eliminate pain and restore broken teeth and prevent it from happening again. We would love to help you!




Missing teeth? Don't want to wear partials or dentures that come out and are difficult to eat with? Implants may be the solution you're looking for. Ask us how we can help you get your missing teeth back!


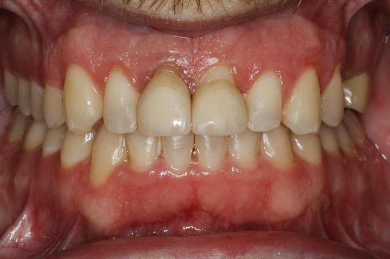
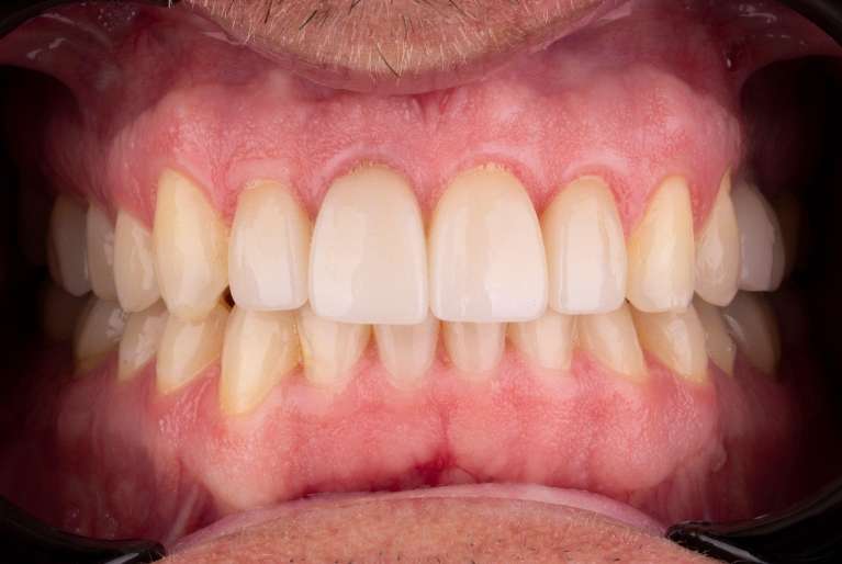
This patient presented with a darkened front tooth. Our dentists replaced the compromised tooth with a dental implant shaded to match their neighboring teeth and complement their smile.
A dental implant replaces both the tooth and root, so it's almost like a natural tooth, providing reliable function and unbeatable aesthetics.
Contact Northwest Arkansas Family Dental
If you'd like to learn more about how dental implants in Fayetteville, AR can improve your smile, we encourage you to contact Northwest Arkansas Family Dental at (479) 521-2002 to schedule an evaluation with one of our dentists.