Northwest Arkansas Family Dental
Fayetteville, AR Dentist

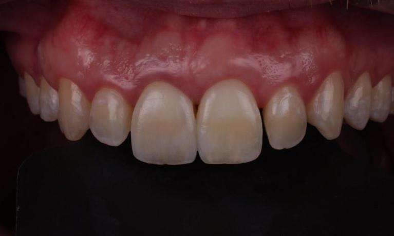
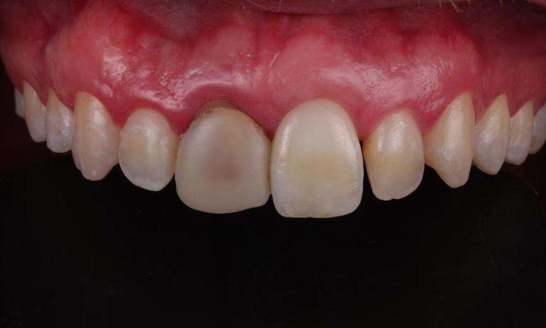
Dental Crowns For Misshapen Teeth

Dental crowns may be a good option for you if you're embarrassed by broken, misshapen, or discolored teeth. Dental crowns not only strengthen and restore damaged teeth, but also significantly improve the appearance of your smile. 

Fast and Convenient Crowns for Your Smile

At Northwest Arkansas Family Dental, we use E4D technology that allows us to create your new crown in one appointment while you wait instead of waiting for weeks for a dental lab to handcraft your restoration. 

Creating your new smile with beautiful, aesthetic porcelain crowns in Fayetteville is quick, simple, and comfortable at Northwest Arkansas Family Dental.

Related Services:

General Dentistry
Misshapen and discolored crown Cosmetic crown matching other teeth
Patient Testimonial - Northwest Arkansas Family Dental
Ready to book an appointment?
If you have difficulty using our website, please email us or call us at (479) 521-2002
View the ADA Accessibility Statement